切换至 "中华医学电子期刊资源库"

中华介入放射学电子杂志 ›› 2025, Vol. 13 ›› Issue (04) : 322 -329. doi: 10.3877/cma.j.issn.2095-5782.2025.04.008

肿瘤介入

载药微球经肝动脉栓塞联合全身治疗晚期结直肠转移性肝癌的临床研究
万山, 张宏伟(), 张惠玲, 楚杰   
  1. 641300 四川资阳,资阳市中心医院
  • 收稿日期:2024-12-24 出版日期:2025-11-25
  • 通信作者: 张宏伟
  • 基金资助:
    四川省医学会(恒瑞)科研基金专项科研课题(2021HR77)

Drug-Eluting Beads for Hepatic Artery Embolization Combined with Systemic Therapy in Advanced Colorectal Cancer with Liver Metastases

Shan Wan, Hongwei Zhang(), Huiling Zhang, Jie Chu   

  1. Zi Yang Central Hospital, Sichuan 641300, China
  • Received:2024-12-24 Published:2025-11-25
  • Corresponding author: Hongwei Zhang
引用本文:

万山, 张宏伟, 张惠玲, 楚杰. 载药微球经肝动脉栓塞联合全身治疗晚期结直肠转移性肝癌的临床研究[J/OL]. 中华介入放射学电子杂志, 2025, 13(04): 322-329.

Shan Wan, Hongwei Zhang, Huiling Zhang, Jie Chu. Drug-Eluting Beads for Hepatic Artery Embolization Combined with Systemic Therapy in Advanced Colorectal Cancer with Liver Metastases[J/OL]. Chinese Journal of Interventional Radiology(Electronic Edition), 2025, 13(04): 322-329.

目的

探讨全身治疗的基础上联合CalliSpheres载药微球加载雷替曲塞经肝动脉栓塞治疗晚期结直肠转移肝癌患者的临床疗效及安全性。

方法

选取2021年3月至2024年7月资阳市中心医院肿瘤中心收治的不可手术切除的结直肠肝转移癌患者50例。将患者随机分成试验组及对照组,每组25例。试验组在全身治疗(化学治疗联合靶向药物)的基础上联合CalliSpheres载药微球加载雷替曲塞行肝动脉栓塞治疗;对照组采取全身治疗,方案为化学治疗联合靶向药物。分析比较2组患者近期疗效、手术转化成功及不良反应情况。

结果

试验组结直肠癌转移性肝癌的完全缓解(complete response,CR)率、部分缓解(partial response,PR)率、疾病稳定(stable disease,SD)率、疾病进展(progressive disease,PD)率、客观缓解率(objective response rate,ORR)和疾病控制率(disease control rate,DCR)分别为8%、60%、24%、8%、68%、92%,对照组患者的CR率、PR率、SD率、PD率、ORR和DCR分别为4%、36%、20%、40%、40%、60%,试验组ORR、DCR均高于对照组,差异均有统计学意义(P<0.05)。2组患者经转化治疗后,完成手术切除的概率分别为40%、8%,差异有统计学意义(P<0.05)。2组患者治疗期间主要不良反应是转氨酶升高、白细胞减少、中性粒细胞绝对值减少、贫血、血小板减少、胆红素升高、恶心呕吐、肌酐升高,2组患者不良反应发生率差异均无统计学意义(P>0.05)。试验组2年总生存期(overall survival,OS)高于对照组,差异有统计学意义(P<0.05)。试验组3、6、12个月无进展生存期(progression-free survival,PFS)高于对照组,差异均有统计学意义(P<0.05)。

结论

全身治疗(化学治疗结合靶向药物)联合载药微球加载雷替曲塞行肝动脉栓塞治疗结直肠癌转移性肝癌的患者,在不增加全身不良反应的同时,临床疗效显著,且可提高手术切除的转化概率。同时可提高患者短期PFS及2年OS。值得临床推广。

Objective

To evaluate the efficacy and safety of raltitrexed-eluting microspheres for transarterial chemoembolization (TACE) combined with systemic therapy in patients with advanced colorectal cancer with liver metastases.

Methods

Fifty patients with newly diagnosed, potentially resectable colorectal cancer with liver metastases were enrolled and randomly assigned to an experimental group (n=25) or a control group (n=25). The experimental group received systemic therapy (chemotherapy plus targeted drugs) combined with TACE using raltitrexed-eluting microspheres (CalliSpheres). The control group received systemic therapy alone (chemotherapy plus targeted drugs). Short-term efficacy, surgical resection conversion rates, and adverse events were compared between groups.

Results

In the experimental group, the complete response (CR) rate was 8%, partial response (PR) rate 60%, stable disease (SD) rate 24%, progressive disease (PD) rate 8%, objective response rate (ORR) 68%, and disease control rate (DCR) 92%. In the control group, the CR rate was 4%, PR 36%, SD 20%, PD 40%, ORR 40%, and DCR 60%. The experimental group had significantly higher ORR and DCR (P<0.05). Surgical resection conversion rates were 40% in the experimental group and 8% in the control group (P<0.05). Adverse events, including elevated transaminases, leukopenia, neutropenia, anemia, thrombocytopenia, hyperbilirubinemia, nausea, vomiting, and elevated creatinine, showed no significant difference between groups (P>0.05). The experimental group had significantly higher 2-year overall survival (OS) and progression-free survival (PFS) at 3, 6, and 12 months compared to the control group (P<0.05).

Conclusion

In patients with advanced colorectal cancer with liver metastases, TACE using raltitrexed-eluting microspheres combined with systemic therapy significantly improves clinical efficacy, surgical resection conversion rates, 2-year OS, and short-term PFS without increasing adverse events compared to systemic therapy alone. This approach warrants broader clinical adoption.

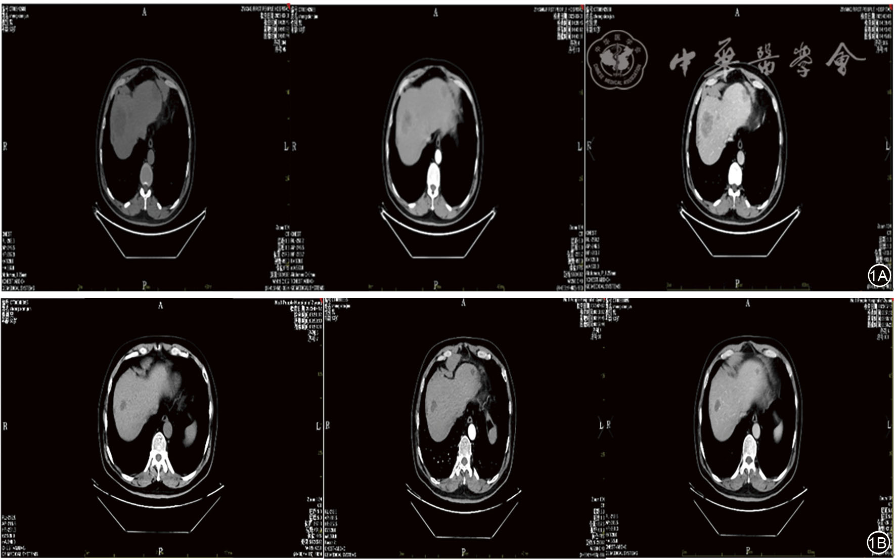
图1 试验组患者DEA-TACE治疗前后CT图。 1A: DEA-TACE治疗前;1B: DEA-TACE治疗后。DEA-TACE:载药微球-经导管肝动脉化疗栓塞术。
表1 2组患者临床疗效比较[例(%)]
表2 2组患者不良反应发生情况比较
图2 2组患者1,2,3年总生存期曲线图分析比较
图3 2组患者3,6,12个月无进展生存期曲线图分析比较
[1]
袁之俊, 来茂德.结直肠癌分子分型与免疫治疗和靶向治疗[J].临床与实验病理学杂, 2024, 40(6): 561-566.
[2]
Kaczirek K. ASCO 2016-update colorectal liver metastases[J]. Memo, 2017, 10(2): 103-105.
[3]
Lillemoe H A, Vauthey J N. Surgical approach to synchronous colorectal liver metastases: staged, combined, or reverse strategy[J]. Hepatobiliary Surg Nutr, 2020, 9(1): 25-34.
[4]
Mentha G, Majno P E, Andres A, et al. Neoadjuvant chemotherapy and resection of advanced synchronous liver metastases before treatment of the colorectal primary[J]. Br J Surg, 2006, 93(7): 872-878.
[5]
向星星, 李伟, 曹英豪, 等. 结直肠癌肝转移患者治疗策略[J]. 现代医学与健康研究, 2024, 8(3): 32-37.
[6]
中国医师协会外科医师分会, 中华医学会外科分会胃肠外科学组, 中华医学会外科分会结直肠外科学组, 等. 中国结直肠癌肝转移诊断和综合治疗指南 (2023 版)[J]. 中国普通外科杂志, 2023, 32(1): 1-29.
[7]
张宜利, 李巍. 结直肠癌肝转移转化治疗进展[J]. 腹部外科, 2021, 34(4): 322-326.
[8]
Liang B, Xiang H, Ma C, et al. Comparison of chemoembolization with CalliSpheres microspheres and conventional chemoem-bolization in the treatment of hepatocellular carcinoma: a multi-center retrospective study[J]. Cancer Manag Res, 2020, 12: 941-956.
[9]
刘松, 于广计, 王庆东. CalliSpheres 载药微球经肝动脉化疗栓塞治疗全身化疗失败的不可切除结直肠癌肝转移的疗效及预后因素分析[J]. 中国癌症防治杂志, 2022, 14(2): 171-176.
[10]
倪婧. 基于全球癌症数据分析: 中国癌谱发生变化为制定我国癌症早筛和早诊策略提供依据[J]. 中华医学信息导报, 2021, 36(7): 16.
[11]
Hong Y S, Song S Y, Lee S I, et al. A phase Ⅱ trial of capeci-tabine in previously untreated patients with advanced and/or metastatic gastric cancer[J]. Ann Oncol, 2004, 15(9): 1344-1347.
[12]
Stewart C L, Warner S, Ito K, et al. Cytoreduction for colo-rectal metastases: liver, lung, peritoneum, lymph nodes, bone, brain. When does it palliate, prolong survival, and potentially cure[J]. Curr Probl Surg, 2018, 55(9): 330-379.
[13]
商志远, 易青群. 结直肠癌肝转移局部治疗的应用研究[J]. 结直肠肛门外科, 2023, 29(4): 408-411.
[14]
周腾超, 龙林, 孙林, 等. 载药微球对比传统化疗栓塞治疗分支门脉癌栓肝癌的临床研究[J]. 介入放射学杂志, 2024, 33(6): 616-622.
[15]
李臻, 李鑫, 白亮亮, 等. DEB-TACE 治疗消化道肿瘤肝转移的初步观察[J]. 郑州大学学报(医学版), 2019, 54(5): 658-662.
[16]
李臻, 谢炳灿, 叶书文, 等. 载药微球加载不同药物化疗栓塞治疗肝细胞癌的疗效探讨[J]. 介入放射学杂志, 2022, 31(5): 465-470.
[17]
刘松, 于广计, 王庆东. CalliSpheres载药微球经肝动脉化疗栓塞治疗全身化疗失败的不可切除结直肠癌肝转移的疗效及预后因素分析[J]. 中国癌症防治杂志, 2022, 14(2): 171-176.
[18]
李坤. 伊立替康载药微球肝动脉栓塞治疗不可手术切除的结直肠癌肝转移的效果分析[J]. 中国现代药物应用, 2021, 15(8): 112-115.
[19]
Zhao H, Zhang Y, Sun J, et al. Raltitrexed inhibits HepG2 cell proliferation via G0/G1 cell cycle arrest[J]. Oncol Res, 2016, 23: 237-248.
[20]
Wang H, Wang J, Lv T, et al. Loadability and releasing profiles in vitro and pharmacokinetics in vivo of vinorelbine and raltitrexed by CalliSpheres beads[J]. Cancer Biother Radiopharm, 2023, 38(8): 536-542.
[1] 韩鹏, 费翔, 姜波, 贺崇, 罗渝昆, 王志军. 超声造影对经导管肝动脉栓塞化疗术治疗肝细胞癌患者效果的评价[J/OL]. 中华医学超声杂志(电子版), 2021, 18(05): 487-494.
[2] 黄晋杰, 李奕男, 王彩琴, 黄晓卉, 王荣昌. 结直肠癌肺转移术后复发性肺转移治疗进展[J/OL]. 中华普通外科学文献(电子版), 2025, 19(01): 50-54.
[3] 马立伟, 贾志强, 陈午盛, 邵明亮, 刘琼, 段玉松. CalliSpheres载药微球联合碘化油治疗肝癌的临床研究[J/OL]. 中华普外科手术学杂志(电子版), 2024, 18(04): 369-372.
[4] 罗云, 周祥福. 2021版美国国立综合癌症网络前列腺癌临床实践指南述评[J/OL]. 中华腔镜泌尿外科杂志(电子版), 2022, 16(01): 1-6.
[5] 郑文涛, 肖静, 欧阳兵, 吴毅, 廖开友, 李春林. 载药微球CalliSpheres经支气管动脉化疗栓塞术治疗Ⅲ~Ⅳ期非小细胞肺癌疗效分析[J/OL]. 中华肺部疾病杂志(电子版), 2025, 18(05): 691-696.
[6] 杨宇光, 唐辉, 谭志明, 麦聪, 陈铁军, 唐云强. 仑伐替尼、PD-1抑制剂联合肝动脉栓塞灌注化疗治疗不可切除肝癌疗效[J/OL]. 中华肝脏外科手术学电子杂志, 2023, 12(01): 55-60.
[7] 李长贤, 周涛, 李相成. 肝内胆管细胞癌的综合治疗[J/OL]. 中华肝脏外科手术学电子杂志, 2021, 10(02): 127-132.
[8] 叶苏意, 张若菡, 邓屹, 陈晓明, 张靖, 李静, 许荣德, 崔伟. 三段式混合化疗栓塞治疗不可切除大肝细胞癌的临床疗效及安全性[J/OL]. 中华介入放射学电子杂志, 2025, 13(04): 330-337.
[9] 崔伟, 李静, 陈晓明, 张靖, 邓屹, 许荣德. 载药微球支气管动脉化疗栓塞术治疗非小细胞肺癌的研究进展[J/OL]. 中华介入放射学电子杂志, 2024, 12(04): 289-295.
[10] 崔伟, 叶苏意, 邓屹, 陈晓明, 张靖, 李静, 许荣德. 载药微球支气管动脉化疗栓塞术治疗难治性非小细胞肺癌的临床疗效及安全性[J/OL]. 中华介入放射学电子杂志, 2024, 12(04): 311-316.
[11] 崔伟, 邓屹, 叶苏意, 李静, 陈晓明, 张靖, 许荣德. 载药微球支气管动脉化疗栓塞术治疗罕见非小细胞肺癌的临床疗效和安全性分析[J/OL]. 中华介入放射学电子杂志, 2024, 12(04): 303-310.
[12] 叶禾清, 李杰, 张玉元, 胡炉淇, 吴白露, 李鑫, 叶书文, 李一帆, 高玥, 詹鹏超, 吕培杰, 李臻. 载药微球化疗栓塞联合多纳非尼及PD-1治疗中晚期大肝癌的疗效分析[J/OL]. 中华介入放射学电子杂志, 2024, 12(03): 212-216.
[13] 吕丽爱, 赖林强, 张登科. 载药微球子宫动脉化疗栓塞治疗局部晚期宫颈癌病理完全缓解患者一例[J/OL]. 中华介入放射学电子杂志, 2024, 12(02): 190-192.
[14] 曹耿飞, 任伟新, 张海潇, 顾俊鹏, 阿斯哈尔·哈斯木. 小粒径载药微球联合信迪利单抗及贝伐珠单抗治疗不可切除肝癌的安全性及疗效分析[J/OL]. 中华介入放射学电子杂志, 2024, 12(01): 45-50.
[15] 曾嘉, 何东风. 介入栓塞材料在肝癌治疗中的研究进展[J/OL]. 中华介入放射学电子杂志, 2023, 11(01): 62-67.
阅读次数
全文


摘要


AI


AI小编
你好!我是《中华医学电子期刊资源库》AI小编,有什么可以帮您的吗?