切换至 "中华医学电子期刊资源库"

中华介入放射学电子杂志 ›› 2025, Vol. 13 ›› Issue (03) : 263 -265. doi: 10.3877/cma.j.issn.2095-5782.2025.03.012

病例报告

“手风琴”效应的血管内超声表现二例
曹仲颖1, 牛少林1, 刘聪聪1, 张涛1, 侯江涛2,()   
  1. 1 253499 山东 德州,山东省宁津县人民医院心血管内科
    2 999077 香港,香港中文大学内科及药物治疗学系
  • 收稿日期:2023-11-01 出版日期:2025-08-25
  • 通信作者: 侯江涛
  • 基金资助:
    沧州市科技计划重点研发项目(204106001)

Two typical cases of IVUS findings in the “accordion effect”

Zhongying Cao, Shaolin Niu, Congcong Liu   

  • Received:2023-11-01 Published:2025-08-25
引用本文:

曹仲颖, 牛少林, 刘聪聪, 张涛, 侯江涛. “手风琴”效应的血管内超声表现二例[J/OL]. 中华介入放射学电子杂志, 2025, 13(03): 263-265.

Zhongying Cao, Shaolin Niu, Congcong Liu. Two typical cases of IVUS findings in the “accordion effect”[J/OL]. Chinese Journal of Interventional Radiology(Electronic Edition), 2025, 13(03): 263-265.

图1 病例1 血管内超声表现 1A:病例1支架植入前IVUS图像,△为椭圆形的管腔狭窄,○为平坦的管壁,□为后部低回声间隙;1B:支架植入后的IVUS图像。
图2 病例1冠脉造影影像表现 2A:病例1冠脉造影图像,箭头处为冠脉狭窄部位;2B:IVUS导管进入冠脉后图像,箭头处可见血管曲度改变,图2C为支架植入后冠脉造影图像。
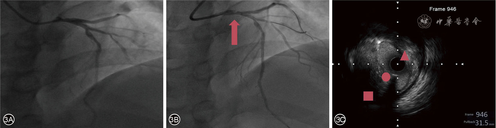
图3 病例2血管内超声及冠脉造影表现 3A:病例2冠脉造影图像;3B:导丝进入冠脉后造影图像,箭头处为冠脉明显狭窄,图3C为病例2 IVUS影像表现,△为椭圆形的管腔狭窄,○为平坦的管壁,□为后部低回声间隙。
[1]
Rauh RA, Ninneman RW, Joseph D, et al. Accordion effect in tortuous right coronary arteries during percutaneous transluminal coronary angioplasty[J]. Cathet Cardiovasc Diagn, 1991, 23(2): 107-110.
[2]
Hays JT, Stein B, Raizner AE. The crumpled coronary: an enigma of arteriographic pseudopathology and its potential for misinterpretation[J]. Cathet Cardiovasc Diagn, 1994, 31(4): 293-300.
[3]
Oyama N, Urasawa K, Sakai H, et al. A case of accordion phenomenon accompanied by severe transmural myocardial ischemia[J]. Jpn Heart J, 2002, 43(1): 49-54.
[4]
Mintz GS, Matsumura M, Ali Z, et al. Clinical utility of intravascular imaging: past, present, and future[J]. JACC: Cardiovascular Imaging, 2022, 15(10): 1799-1820.
[5]
Alfonso F, Delgado A, Magalhaes D, et al. Value of intravascular ultrasound in the assessment of coronary pseudostenosis during coronary interventions[J]. Catheter Cardiovasc Interv, 1999, 46(3): 327-332.
[6]
Senguttuvan NB, Singh H, Periyasamy SK, et al. Beware of bumpy roads in coronaries: "don't trust FFR in accordion effect"[J]. JACC Cardiovasc Interv, 2022, 15(10): 1087-1088.
[7]
Alvarez JA, Leiva G, Manavella B, et al. Left main crumpling during left anterior descending angioplasty: hitherto unreported location for the "accordion effect"[J]. Catheter Cardiovasc Interv, 2001, 52(3): 363-367.
[1] 张源祥, 邱银汝, 梁志尧, 谢微, 刘福秀, 陈铭, 苏艳芳, 王茹, 傅宴. 多巴酚丁胺负荷超声造影诊断冠心病的初步研究[J/OL]. 中华医学超声杂志(电子版), 2020, 17(04): 327-334.
[2] 李美媛, 刘康, 邬步云, 俞香宝, 朱亚梅, 毛慧娟, 邢昌赢. 冠状动脉造影术到心脏瓣膜手术时间间隔对术后急性肾损伤发生的影响[J/OL]. 中华肾病研究电子杂志, 2021, 10(03): 126-132.
[3] 牟超鹏, 宗斌, 刘奕, 史美英, 徐杜娟, 冯春光. 经远端桡动脉与经常规桡动脉行急诊冠脉介入诊疗后穿刺部位血肿的对比[J/OL]. 中华临床医师杂志(电子版), 2024, 18(03): 275-282.
[4] 陈新军, 郑若龙, 徐卓文, 杨增芯, 李伟章, 钱惠东, 蒋文龙, 张华. 药物球囊治疗冠状动脉支架内再狭窄的临床疗效[J/OL]. 中华临床医师杂志(电子版), 2019, 13(09): 647-652.
[5] 康晓雨, 贺迎坤, 白卫星, 许斌, 李天晓, 刘耀, 赵耀. 血管成形术治疗脑静脉窦狭窄及闭塞两例[J/OL]. 中华介入放射学电子杂志, 2022, 10(01): 112-114.
[6] 刘雪莲, 郝宝顺, 刘定辉, 陈秀珍, 周彬, 余舒杰. 320排动态容积CT动脉造影评价冠状动脉支架内再狭窄的价值[J/OL]. 中华介入放射学电子杂志, 2020, 08(02): 166-169.
[7] 吴祥波、梅斌. 血管内超声在颈动脉蹼诊疗中的作用[J/OL]. 中华介入放射学电子杂志, 2019, 07(04): 0-0.
[8] 陈猛, 孟润祺, 曹勇, 张金国. 冠状动脉支架内再狭窄的影像诊断与治疗研究进展[J/OL]. 中华诊断学电子杂志, 2023, 11(01): 12-16.
[9] 李青文, 李传方, 甘立军. 冠状动脉瘤的诊断学特征及明胶海绵颗粒栓塞治疗的疗效分析[J/OL]. 中华诊断学电子杂志, 2022, 10(02): 94-98.
[10] 孙乔, 黄竹. CTCA联合CT首过心肌灌注成像检查在无症状性心肌缺血诊断中的应用效果[J/OL]. 中华心脏与心律电子杂志, 2018, 06(02): 83-85.
[11] 孔敬博, 耿青, 张玉强. DCG联合TET检查在早期复极综合征合并冠心病诊断中的应用[J/OL]. 中华心脏与心律电子杂志, 2018, 06(02): 80-82.
[12] 刘士超, 简立国. 血管内超声在慢性完全闭塞性冠状动脉病变介入治疗中的应用效果[J/OL]. 中华心脏与心律电子杂志, 2018, 06(02): 77-79.
[13] 孙乔, 孙善见, 孙凤香. 64-MSCT联合DCG对冠心病的诊断价值[J/OL]. 中华心脏与心律电子杂志, 2018, 06(01): 31-33.
[14] 朱坤涛. CT冠脉血管成像在冠心病心绞痛临床诊断中的应用观察[J/OL]. 中华心脏与心律电子杂志, 2018, 06(01): 19-21.
[15] 单海滨. 多层螺旋CT冠状动脉造影在冠状动脉狭窄及其心肌功能的研究[J/OL]. 中华心脏与心律电子杂志, 2017, 05(04): 215-217.
阅读次数
全文


摘要


AI


AI小编
你好!我是《中华医学电子期刊资源库》AI小编,有什么可以帮您的吗?