切换至 "中华医学电子期刊资源库"

中华介入放射学电子杂志 ›› 2018, Vol. 06 ›› Issue (04) : 315 -318. doi: 10.3877/cma.j.issn.2095-5782.2018.04.008

所属专题: 经典病例 经典病例 文献

病例报告

食管覆膜支架置入术后致窦性心动过速一例报告及文献研究
李必波1, 李肖2, 周翔2, 张晓武2, 闫东2,()   
  1. 1. 400014 重庆市人民医院(三院院区)肿瘤科/血液科
    2. 中国医学科学院肿瘤医院介入科
  • 收稿日期:2018-09-02 出版日期:2018-11-01
  • 通信作者: 闫东
  • 基金资助:
    国家自然科学基金青年科学基金项目(81502669)

Sinus tachycardia after esophageal stent implantation: A case report and literature review

Bibo Li1, Xiao Li2, Xiang Zhou2   

  • Received:2018-09-02 Published:2018-11-01
引用本文:

李必波, 李肖, 周翔, 张晓武, 闫东. 食管覆膜支架置入术后致窦性心动过速一例报告及文献研究[J/OL]. 中华介入放射学电子杂志, 2018, 06(04): 315-318.

Bibo Li, Xiao Li, Xiang Zhou. Sinus tachycardia after esophageal stent implantation: A case report and literature review[J/OL]. Chinese Journal of Interventional Radiology(Electronic Edition), 2018, 06(04): 315-318.

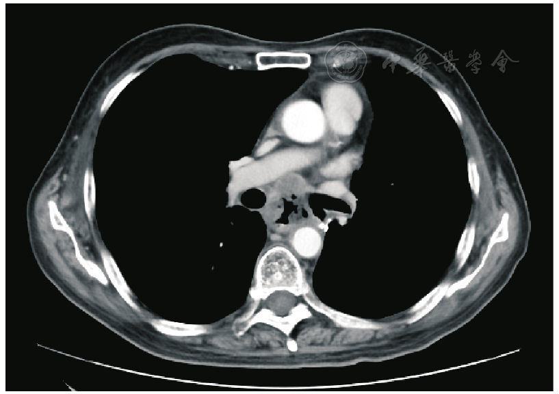
图1 胸部CT可见纵膈淋巴结肿大,与食管病变分界不清
图2 胸部CT示食管最狭窄段起始处
图3 DSA显示食管覆膜支架置入术后状态
表1 食管支架置入术后并发心律失常文献汇总
[1]
雷波.40例晚期食管癌支架置入术后并发症分析[J].辽宁医学院学报, 2014, 4: 14-15.
[2]
杨良英,朱永春. 支架置入术治疗中晚期食管癌的临床护理分析[J].中国保健营养, 2010, 7:18.
[3]
刘文,许剑,周会新, 等.全覆膜可取出支架置入术后常见并发症的原因及对策[J].医学临床研究, 2008, 25(8): 1382-1384.
[4]
杨鸿超,李冬梅.食管支架用于恶性食管狭窄26例分析[J].中国误诊学杂志, 2007, 7(13): 3137-3138.
[5]
苏明涛,曾维英,徐建芳.金属内支架治疗食管恶性狭窄并发症的分析[J].肿瘤防治杂志, 2005, 12(12): 943-944.
[6]
吴云,李罗平,卢国春.内镜和影像引导上消化道支架95例临床分析[J].温州医学院学报, 2012, 42(4): 373-375.
[7]
谢蓉,张洋,谢明锦.胃镜监视下食道支架置入术并发症98例临床研究[J].医学信息(上旬刊), 2010, 23(8): 2846-2847.
[8]
Bor R,Fábián A,Bálint A, et al. Endoscopic management of complications of self-expandable metal stents for treatment of malignant esophageal stenosis and tracheoesophageal fistulas[J]. Therap Adv Gastroenterol, 2017, 10(8): 599-607.
[9]
蔡志春,张新毅,王思红, 等.金属食管支架置入的并发症及预防处理[J].中国中西医结合影像学志, 2006, 4(3): 226-228.
[10]
李罗平,卢国春.食管支架术并发症分析[J].实用放射学杂志, 2008, 24(3): 362-365.
[11]
谭群友,王如文,蒋耀光, 等.晚期食管癌带膜记忆合金支架植入术的并发症[J].防治消化外科, 2005, 4(2): 100-102.
[12]
Eloubeidi MA,Talreja JP,Lopes TL, et al. Success and complications associated with placement of fully covered removable self-expandable metal stents for benign esophageal diseases(with videos)[J]. Gastrointest Endosc, 2011, 73(4): 673-681.
[13]
Montgomery EA. Oesophageal cancer//Stewart BW,Wild CP. World Cancer Report 2014[M]. Lyon:IARC Press, 2014:374-382.
[14]
Jemal A,Bray F,Center MM, et al. Global cancer statistics[J]. CA Cancer J Clin, 2011, 61(2): 69-90.
[15]
Frimberger E. Expanding spiral: a new type of prosthesis for the palliative treatment of malignant esophageal stenoses[J]. Endoscopy, 1983, 15(1): 213-214.
[16]
Balazs A,Kokas P,Lukovich P, et al. Experience with stent implantation in malignant esophageal strictures: analysis of 1185 consecutive cases[J]. Surg Laparosc Endosc Percutan Tech, 2013, 23(3): 286-291.
[17]
汪星,刘海峰,王玲, 等.儿童难治性食管狭窄应用全覆膜支架治疗的并发症及处理对策[J].中国内镜杂志, 2017, 23(7): 91-95.
[18]
沈涛,黄优华,李建柯, 等.食管支架置入治疗食管恶性狭窄并发症的分析[J].现代消化及介入诊疗, 2016, 21(4): 637-639.
[19]
王蓉.473例食管癌患者术后心律失常相关因素分析[J].江苏实用心电学杂志, 2014, 23(6):429-432.
No related articles found!
阅读次数
全文


摘要


AI


AI小编
你好!我是《中华医学电子期刊资源库》AI小编,有什么可以帮您的吗?