Home    中文  
 
  • Search
  • lucene Search
  • Citation
  • Fig/Tab
  • Adv Search
Just Accepted  |  Current Issue  |  Archive  |  Featured Articles  |  Most Read  |  Most Download  |  Most Cited

Chinese Journal of Interventional Radiology(Electronic Edition) ›› 2026, Vol. 14 ›› Issue (01): 118-121. doi: 10.3877/cma.j.issn.2095-5782.2026.01.018

• Case Report • Previous Articles    

Combined Radioactive Seed Implantation and Transarterial Chemoembolization Followed by Targeted-Immunotherapy for Midline Carcinoma: A Case Report

Ke Zhao, Quanjun Yao, Yanan Zhao, Wen Luo, Hongtao Hu()   

  1. Department of Minimally Invasive Interventional Therapy, The Affiliated Cancer Hospital of Zhengzhou University & Henan Cancer Hospital, Zhengzhou 450008, China
  • Received:2025-02-27 Online:2026-02-25 Published:2026-04-16
  • Contact: Hongtao Hu

Abstract:

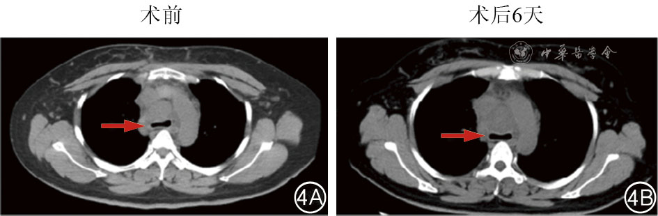
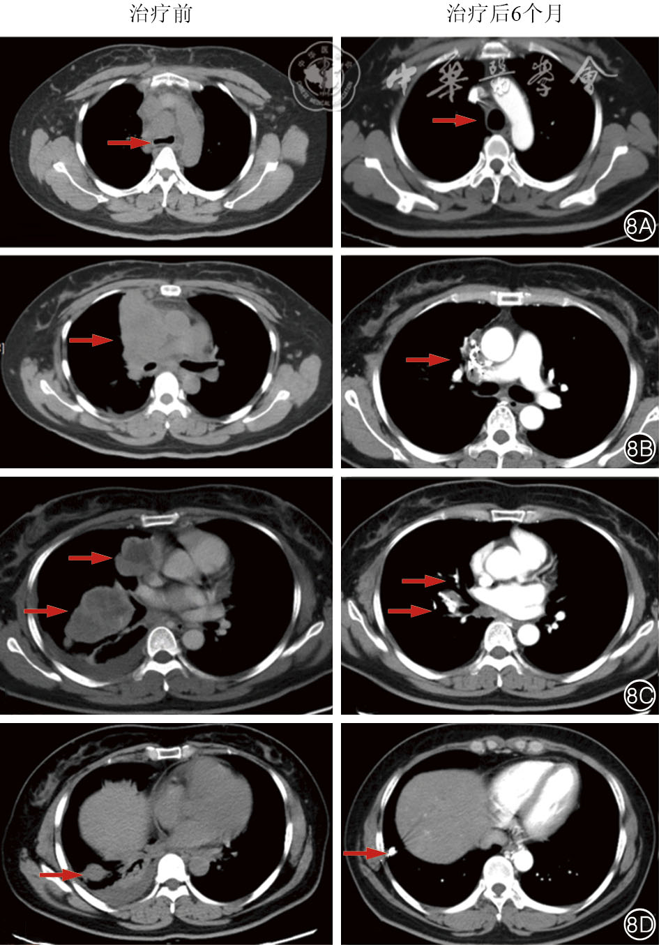
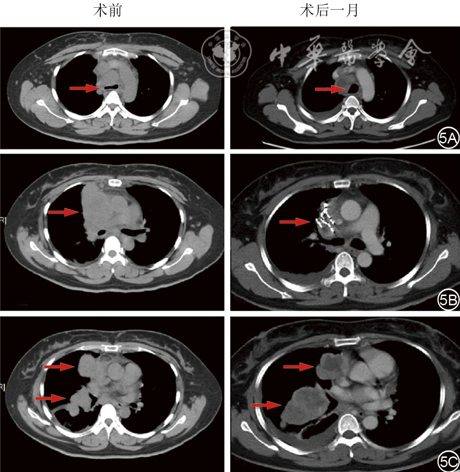
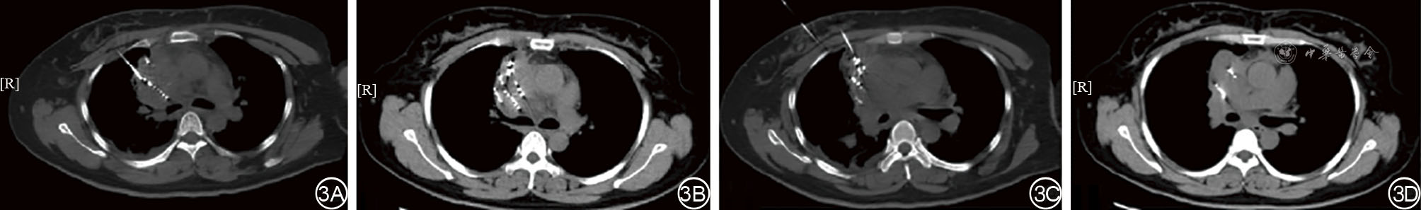
We present a case of a 40-year-old female patient with midline carcinoma, who was admitted for chest pain and cough and diagnosed with concurrent mediastinal and pulmonary metastases. Single-agent chemotherapy proved ineffective and her clinical symptoms aggravated, accompanied by tracheal and superior vena cava compression. Following multidisciplinary consultation, CT-guided 125Ⅰ seed implantation was initially performed. Local tumors regressed postoperatively while partial pulmonary metastatic lesions progressed, prompting seed reimplantation combined with bronchial arterial chemoembolization, followed by concurrent anlotinib targeted therapy and sintilimab immunotherapy. After six months of comprehensive treatment, the thoracic tumors resolved, lymph nodes shrank, radiological evaluation indicated partial response, and the patient's clinical symptoms were significantly relieved. This case demonstrates that the integrated regimen of interventional local therapy plus targeted and immunotherapy offers a viable therapeutic approach for inoperable midline carcinoma patients with refractory conventional chemotherapy, enabling rapid symptom relief and improved treatment efficacy.

Key words: nuclear protein in testis carcinoma, seed implantation, transcatheter arterial chemoembolization

京ICP 备07035254号-20
Copyright © Chinese Journal of Interventional Radiology(Electronic Edition), All Rights Reserved.
Tel: 18011751568(微信同号) E-mail: zhjrfsx@163.com
Powered by Beijing Magtech Co. Ltd