切换至 "中华医学电子期刊资源库"

中华介入放射学电子杂志 ›› 2025, Vol. 13 ›› Issue (04) : 366 -372. doi: 10.3877/cma.j.issn.2095-5782.2025.04.015

基础研究

低功率与高功率微波消融对活体猪肺组织消融区域的影响
邓屹1, 崔伟2, 陈兢兢3, 乐艳青3, 崔景华3, 叶苏意4, 陈俞溪3, 陈泳衡3, 李泳瑜5, 陈静琪3, 袁兵4, 许荣德2,(), 李静3,()   
  1. 1 410011 湖南 长沙,中南大学湘雅二医院肿瘤科
    2 510080 广东广州,南方医科大学附属广东省人民医院(广东省医学科学院)微创介入科
    3 510080 广东广州,南方医科大学附属广东省人民医院(广东省医学科学院)呼吸与危重症医学科
    4 650500 云南 昆明,昆明理工大学医学部
    5 510080 广东广州,南方医科大学附属广东省人民医院(广东省医学科学院)广东省心血管病研究所
  • 收稿日期:2025-02-18 出版日期:2025-11-25
  • 通信作者: 许荣德, 李静
  • 基金资助:
    国家重点研究发展计划(2023YFC2507104); 国家自然科学基金(82102163); 2024年度基础与应用基础研究专题(优秀博士“续航”项目)(2024A04J2459)

The effects of low-power and high-power microwave ablation on the ablation zones in normal porcine lung tissue

Yi Deng1, Wei Cui2, Jingjing Chen3, Yanqing Le3, Jinghua Cui3, Suyi Ye4, Yuxi Chen3, Yongheng Chen3, Yongyu Li5, Jingqi Chen3, Bing Yuan4, Rongde Xu2,(), Jing Li3,()   

  1. 1 Department of Oncology, the Second Xiangya Hospital of Central South University, Hunan, Changsha, 410011, China
    2 Department of Interventional Radiology, Guangdong Provincial People's Hospital (Guangdong Academy of Medical Sciences), Southern Medical University. Guangzhou, Guangdong, 510080, China
    3 Department of Pulmonary and Critical Care Medicine, Guangdong Provincial People's Hospital (Guangdong Academy of Medical Sciences), Southern Medical University. Guangzhou, Guangdong, 510080, China
    4 Medical School, Kunming University of Science and Technology, Kunming, Yunnan, 650500, China
    5 Department of Cardiology, Guangdong Cardiovascular Institute, Guangdong Provincial People's Hospital (Guangdong Academy of Medical Sciences), Southern Medical University. Guangzhou, Guangdong, 510080, China
  • Received:2025-02-18 Published:2025-11-25
  • Corresponding author: Rongde Xu, Jing Li
  • About author:

    Co-first authors: Deng Yi, Cui Wei

引用本文:

邓屹, 崔伟, 陈兢兢, 乐艳青, 崔景华, 叶苏意, 陈俞溪, 陈泳衡, 李泳瑜, 陈静琪, 袁兵, 许荣德, 李静. 低功率与高功率微波消融对活体猪肺组织消融区域的影响[J/OL]. 中华介入放射学电子杂志, 2025, 13(04): 366-372.

Yi Deng, Wei Cui, Jingjing Chen, Yanqing Le, Jinghua Cui, Suyi Ye, Yuxi Chen, Yongheng Chen, Yongyu Li, Jingqi Chen, Bing Yuan, Rongde Xu, Jing Li. The effects of low-power and high-power microwave ablation on the ablation zones in normal porcine lung tissue[J/OL]. Chinese Journal of Interventional Radiology(Electronic Edition), 2025, 13(04): 366-372.

目的

比较低功率(40 W)与高功率(100 W)微波消融对活体猪肺组织消融区域的变化情况。

方法

对活体猪肺进行微波消融,根据消融功率分为40 W组和100 W组,设置消融时间各为1、3、5、8、10 min,每组实验重复3次,共30次消融。记录消融区域的最大长径、短径/厚度、体积及纵横比,取材观察消融区域的病理情况。

结果

当消融功率一定时,随着时间的增加,消融区域的长径、短径/厚度、体积逐渐增大(均P<0.05);40 W组消融时间在1~10 min时,其消融长径为(13.6±6.0) mm,短径/厚度为(10.4±3.8) mm,纵横比为1.3±0.2。100 W组消融时间在1~10 min时,其消融长径为(31.1±9.1) mm,短径/厚度为(19.9±6.5) mm,纵横比为1.6±0.2。40 W组在消融时间为8和10 min时,消融区域的长径、短径/厚度及体积的增加趋于平缓,长径和短径/厚度均未超过20 mm,且纵横比维持在1.3~1.4。而100 W组的消融区域长径和短径/厚度在相同时间内仍持续增长,纵横比维持在1.4~1.5。镜下可见消融区域从内到外依次为凝固性坏死区和肺组织充血水肿及炎性细胞浸润区,可见炎性细胞浸润。

结论

消融时间相同的情况下,高功率(100 W)微波消融较低功率(40 W)微波消融能产生更大消融区域,更适用于直径大于20 mm病灶的消融治疗,其在临床中的应用值得进一步研究。

Objective

To compare the changes in the ablation zone of porcine lung tissue in vivo between low-power (40 W) and high-power (100 W) microwave ablation (MWA).

Methods

Microwave ablation was performed on porcine lungs in vivo. The ablation was divided into two groups based on power: 40 W and 100 W. Ablation times were set at 1 min, 3 min, 5 min, 8 min, and 10 min, with each group repeated three times, for a total of 30 ablations. The maximum long axis, short axis/thickness, volume, and aspect ratio of the ablation zone were recorded, and histological examination of the ablation zone was performed.

Results

When the ablation power was constant, the long axis, short axis/thickness, and volume of the ablation zone increased gradually with time (all P<0.05). For the 40 W group with ablation times ranging from 1 to 10 minutes, the long axis of the ablation zone was 13.6±6.0 mm, the short axis/thickness was 10.4±3.8 mm, and the aspect ratio was 1.3±0.2. For the 100 W group with ablation times ranging from 1 to 10 minutes, the long axis of the ablation zone was 31.1±9.1 mm, the short axis/thickness was 19.9±6.5 mm, and the aspect ratio was 1.6±0.2. In the 40 W group, the increase in long axis, short axis/thickness, and volume of the ablation zone became stable at 8 min and 10 min of ablation, with neither long diameter nor short diameter/thickness exceeding 20 mm, and the aspect ratio remained between 1.3 and 1.4. In contrast, the long axis and short axis/thickness of the ablation zone in the 100 W group continued to increase within the same time frame, with the aspect ratio maintained between 1.4 and 1.5. Histologically, the ablation zone showed a coagulative necrosis zone at the center, surrounded by a zone of pulmonary tissue congestion, edema, and inflammatory cell infiltration, with visible inflammatory cell infiltration.

Conclusion

When the ablation time is the same, high-power (100 W) microwave ablation generates a larger ablation zone compared to low-power (40 W) microwave ablation and is more suitable for the ablation treatment of lesions with a diameter greater than 20 mm. Further investigation into its clinical application is warranted.

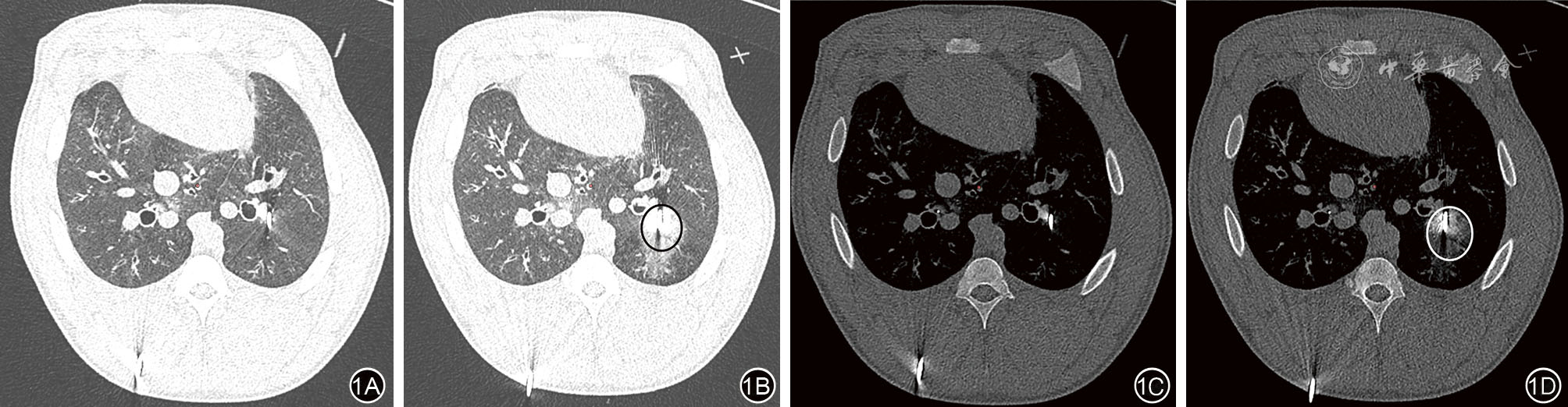
图1 100 W 8 min活体猪肺微波消融术中CT图 1A、1B:微波消融前后的肺窗,黑圈为消融范围;1C、1D:微波消融前后的纵隔窗,白圈所示为消融范围。
图2 活体猪肺微波消融大体图 A1~5:40 W组在消融时间为1、3、5、8、10 min的消融情况;B1~5:100 W组在消融时间分别为1、3、5、8、10 min的消融情况;可见消融病灶中沿针道的箭头状碳化区、凝固区和充血区。
图3 不同消融时间的活体猪肺微波消融区域变化图 3A:消融功率分别设置为40 W、100 W时,消融区域长径随时间的变化情况;3B:消融功率分别设置为40 W、100 W时,消融区域短径/厚度随时间的变化情况;3C:消融功率分别设置为40 W、100 W时,消融区域体积随时间的变化情况;3D:消融功率分别设置为40 W、100 W时,消融区域纵横比随时间的变化情况。
表1 40W组和100W组的猪肺微波消融区域情况(
±s
图4 消融功率为40 W,消融时间为8 min时的活体猪肺微波消融区域镜下病理图 4A:HE×40;4B:HE×100;4C:HE×100;4D:HE×400。肺脏组织内局部空腔形成,空腔边缘组织呈凝固性坏死,坏死周围组织变性,肺泡间隔血管淤血,可见少量炎症细胞。周围肺泡腔内渗出及出血。红色箭头为凝固性坏死,蓝色箭头为淋巴细胞,黄色箭头为变性组织
图5 消融功率为100 W,消融时间为8 min时的活体猪肺微波消融区域镜下病理图 5A:HE×40;5B:HE×100;5C:HE×100;5D:HE×400。肺脏组织内局部空腔形成,空腔边缘组织呈凝固性坏死,坏死周围组织变性,肺泡间隔血管淤血,可见少量炎症细胞。周围肺泡腔内渗出液。红色箭头为凝固性坏死,蓝色箭头为巨噬细胞。
[1]
叶欣, 王俊, 危志刚, 等. 热消融治疗肺部亚实性结节专家共识(2021年版)[J]. 中国肺癌杂志, 2021, 24(5): 305-322.
[2]
陈凯, 方主亭. 热消融在肺癌中的应用和展望[J]. 中华介入放射学电子杂志, 2019, 07(2): 126-129.
[3]
Wang J, Li B, Zhang L, et al. Safety and local efficacy of computed tomography-guided microwave ablation for treating early-stage non-small cell lung cancer adjacent to bronchovascular bundles[J]. Eur Radiol, 2024, 34(1): 236-246.
[4]
Peng J, Bie Z, Li Y, et al. Safety and efficacy of CT-guided percutaneous microwave ablation for stage Ⅰ non-small cell lung cancer in patients with comorbid idiopathic pulmonary fibrosis[J]. Eur Radiol, 2024, 34(7): 4708-4715.
[5]
Xu Y, Padley S P G, Devaraj A, et al. Discrepancy between achieved and vendor-predicted ablation zones in the lung: contributing factors[J]. Cardiovasc Intervent Radiol, 2024, 47(5): 613-620.
[6]
Prud'homme C, Teriitehau C, Adam J, et al. Lung microwave ablation-an in vivo swine tumor model experiment to evaluate ablation zones[J]. Int J Hyperthermia, 2020, 37(1): 879-886.
[7]
Brace C L, Hinshaw J L, Laeseke P F, et al. Pulmonary thermal ablation: comparison of radiofrequency and microwave devices by using gross pathologic and CT findings in a swine model[J]. Radiology, 2009, 251(3): 705-711.
[8]
Wolf F J, Grand D J, Machan J T, et al. Microwave ablation of lung malignancies: effectiveness, CT findings, and safety in 50 patients[J]. Radiology, 2008, 247(3): 871-879.
[9]
Fintelmann F J, Graur A, Oueidat K, et al. Ablation of stage Ⅰ-Ⅱ non-small cell lung cancer in patients with interstitial lung disease: a multicenter retrospective study[J]. AJR Am J Roentgenol, 2024, 222(2): e2330300.
[10]
Ni Y, Huang G, Yang X, et al. Microwave ablation treatment for medically inoperable stage Ⅰ non-small cell lung cancers: long-term results[J]. Eur Radiol, 2022, 32(8): 5616-5622.
[11]
Palussière J, Cazayus M, Cousin S, et al. Is there a role for percutaneous ablation for early stage lung cancer? what is the evidence?[J]. Curr Oncol Rep, 2021, 23(7): 81.
[12]
Wei Z, Yang X, Ye X, et al. Microwave ablation plus chemotherapy versus chemotherapy in advanced non-small cell lung cancer: a multicenter, randomized, controlled, phase Ⅲ clinical trial[J]. Eur Radiol, 2020, 30(5): 2692-2702.
[13]
訾洋, 韦伟, 杨泽军, 等. 外科切除与微波消融对非小细胞肺癌治疗的应用比较[J]. 中华介入放射学电子杂志, 2021, 9(3): 331-335, 3344.
[14]
Vogl T J, Naguib N N, Gruber-Rouh T, et al. Microwave ablation therapy: clinical utility in treatment of pulmonary metastases[J]. Radiology, 2011, 261(2): 643-651.
[15]
Shyn P B. Is image-guided thermal ablation ready for treatment of stage 1 non-small cell lung cancer?[J]. Radiology, 2018, 289(3): 871-872.
[16]
Lubner M G, Hinshaw J L, Andreano A, et al. High-powered microwave ablation with a small-gauge, gas-cooled antenna: initial ex vivo and in vivo results[J]. J Vasc Interv Radiol, 2012, 23(3): 405-411.
[17]
Toshihiro I, Takao H, Yusuke M, et al. In vivo microwave ablation of normal swine lung at high-power, short-duration settings[J]. Acta Med Okayama, 2022, 76(1): 57-62.
[18]
Xiang G, Zhen T, Yanyan C, et al. Experimental and numerical study of microwave ablation on ex-vivo porcine lung[J]. Electromagn Biol Med, 2019, 38(4): 249-261.
[19]
Habert P, Di Bisceglie M, Hak J F, et al. Percutaneous lung and liver CT-guided ablation on swine model using microwave ablation to determine ablation size for clinical practice[J]. Int J Hyperthermia, 2021, 38(1): 1140-1148.
[20]
Rüdiger H, Hansjörg R, Ludwig E, et al. Comparison of four microwave ablation devices: an experimental study in ex vivo bovine liver[J]. Radiology, 2013, 268(1): 89-97.
[21]
Brace C L, Hinshaw J L, Laeseke P F, et al. Pulmonary thermal ablation: comparison of radiofrequency and microwave devices by using gross pathologic and CT findings in a swine model[J]. Radiology, 2009, 251(3): 705-711.
[22]
Ming K, Ming D L, Xiao Y X, et al. Liver cancer: increased microwave delivery to ablation zone with cooled-shaft antenna-experimental and clinical studies[J]. Radiology, 2007, 242(3): 914-924.
[23]
Marija R R, Nikola B, Branislav R. Computational modeling of microwave tumor ablation[J]. Bioengineering (Basel), 2022, 9(11): 656.
[24]
Christopher L B, Paul F L, Lisa A S, et al. Microwave ablation with multiple simultaneously powered small-gauge triaxial antennas: results from an in vivo swine liver model[J]. Radiology, 2007, 244(1): 151-156.
[25]
寇娜, 罗富良, 李红丽, 等. 单针与双针微波消融活体猪肺范围[J]. 中国介入影像与治疗学, 2024, 21(8): 491-494.
[1] 高昕雨, 杨楷熠, 陈慧婷, 朱丽, 方雅滨, 宋梅, 曾锦树. 甲状腺乳头状癌术后颈部转移淋巴结超声引导下微波消融与再次手术的疗效比较[J/OL]. 中华医学超声杂志(电子版), 2025, 22(09): 858-867.
[2] 罗兵, 董凤群, 牛艺臻, 王锟, 程志华, 刘宏强. 胎儿超声心动图在单纯性肺动脉瓣狭窄及预后评估中的价值[J/OL]. 中华医学超声杂志(电子版), 2025, 22(08): 740-747.
[3] 杨肖立, 杨传盛. 超声引导下微波消融治疗非哺乳期乳腺炎的临床疗效[J/OL]. 中华乳腺病杂志(电子版), 2025, 19(06): 348-351.
[4] 张蔚, 李运涛, 尚培中, 贾志芳, 张伟, 郭伟林. 腹腔镜根治术治疗转移性胆囊癌一例报道[J/OL]. 中华普外科手术学杂志(电子版), 2025, 19(05): 589-590.
[5] 徐蓓, 厉小梅, 王俐, 李雨薇, 徐晓玲, 陈卓. 原发性干燥综合征伴肺结节的临床特征[J/OL]. 中华肺部疾病杂志(电子版), 2025, 18(05): 673-678.
[6] 吴秀琳, 郭亮, 蔡俊, 何志强, 王悦, 杨天仪, 唐敏, 李明霞, 杨智勇, 易斌, 熊玮, 廖江荣, 吴学玲. PALM3对铜绿假单胞菌致血管内皮细胞损伤作用的机制研究[J/OL]. 中华肺部疾病杂志(电子版), 2025, 18(05): 679-684.
[7] 余萱, 贺需旗, 郭光辉, 谭雷, 李凯, 曾庆劲. 新型微波消融系统治疗血管旁与非血管旁肝癌的安全性及疗效[J/OL]. 中华肝脏外科手术学电子杂志, 2025, 14(06): 888-893.
[8] 段兴福, 唐建中, 孙志为, 陈业盛, 高波, 费振浩. 后腹膜入路腹腔镜微波消融术治疗复发性肝癌的临床疗效[J/OL]. 中华肝脏外科手术学电子杂志, 2025, 14(06): 919-924.
[9] 许侨东, 马志延, 冯庚壬, 钟海彬, 刘坚锐, 古松钢. 肝肺多发性原发性癌转化治疗后行腹腔镜肝右前叶切除术一例(附视频)[J/OL]. 中华肝脏外科手术学电子杂志, 2025, 14(06): 973-976.
[10] 丁雪吟, 孙居仙, 石洁, 程树群. 肝癌肺转移的放射治疗研究进展[J/OL]. 中华肝脏外科手术学电子杂志, 2025, 14(05): 789-794.
[11] 于少华, 苏飞, 芦永斌, 袁芳芸, 阚晓燕, 张涛, 侯小明. 基于血清电解质水平构建列线图模型对广泛期小细胞肺癌患者的预测价值[J/OL]. 中华临床医师杂志(电子版), 2025, 19(08): 574-581.
[12] 高兴梅, 周洁容, 杨溢, 张孟祥, 张仲谋, 李斌. 重症肺炎患者血磷水平轨迹与短期预后之间的关系[J/OL]. 中华临床医师杂志(电子版), 2025, 19(07): 479-485.
[13] 俞若婷, 高威, 刘宇浩, 刘琛. 肺挫伤病理生理机制及相关治疗研究[J/OL]. 中华临床医师杂志(电子版), 2025, 19(07): 536-543.
[14] 王春茂, 韩鸣, 王子彤. 局限期小细胞肺癌新辅助治疗后完全病理学缓解五例[J/OL]. 中华临床医师杂志(电子版), 2025, 19(07): 550-554.
[15] 扈姝琴, 曹丹, 丁亚艳. 专科护士主导的医疗游戏护理模式对重症肺炎支原体肺炎患儿纤维支气管镜检查依从性的影响[J/OL]. 中华卫生应急电子杂志, 2025, 11(05): 278-283.
阅读次数
全文


摘要


AI


AI小编
你好!我是《中华医学电子期刊资源库》AI小编,有什么可以帮您的吗?