切换至 "中华医学电子期刊资源库"

中华介入放射学电子杂志 ›› 2025, Vol. 13 ›› Issue (04) : 383 -387. doi: 10.3877/cma.j.issn.2095-5782.2025.04.018

所属专题: 经典病例

病例报告

基于二次活检结果指导治疗转化型小细胞肺癌一例并文献复习
吴盛楠, 穆宁, 刘梅, 徐悦, 吕欢, 王欣怡, 马春华()   
  1. 300121 天津,天津市人民医院肿瘤诊疗中心肿瘤5科
  • 收稿日期:2024-12-03 出版日期:2025-11-25
  • 通信作者: 马春华
  • 基金资助:
    天津市医学重点学科(专科)建设项目(TJYXZDXK-053B)

Treatment of Transformed Small Cell Lung Cancer Guided by Rebiopsy: A Case Report

Shengnan Wu, Ning Mu, Mei Liu, Yue Xu, Huan Lv, Xinyi Wang, Chunhua Ma()   

  1. Tianjin People's Hospital, Tianjin 300121, China
  • Received:2024-12-03 Published:2025-11-25
  • Corresponding author: Chunhua Ma
引用本文:

吴盛楠, 穆宁, 刘梅, 徐悦, 吕欢, 王欣怡, 马春华. 基于二次活检结果指导治疗转化型小细胞肺癌一例并文献复习[J/OL]. 中华介入放射学电子杂志, 2025, 13(04): 383-387.

Shengnan Wu, Ning Mu, Mei Liu, Yue Xu, Huan Lv, Xinyi Wang, Chunhua Ma. Treatment of Transformed Small Cell Lung Cancer Guided by Rebiopsy: A Case Report[J/OL]. Chinese Journal of Interventional Radiology(Electronic Edition), 2025, 13(04): 383-387.

2023年6月29日天津市人民医院收治1例晚期肺腺癌女性患者,患者系EGFR 19外显子缺失突变多线治疗后,复查血液基因检测仍提示EGFR突变,但靶向治疗无效。患者再次行肺穿刺活检,病理明确为小细胞肺癌,予支气管动脉灌注化疗联合达可替尼分子靶向治疗、安罗替尼抗血管生成治疗,最佳疗效达部分缓解,无进展生存为4个月。治疗过程中,及时的二次活检提示病理转化,动脉灌注化疗联合靶向治疗成功控制病情,希望此案例能对转化型小细胞肺癌的治疗提供参考。

On June 29, 2023, Tianjin People's Hospital admitted a female patient with advanced lung adenocarcinoma. The patient had undergone multiple lines of treatment,re-examination of the blood genetic test still indicated EGFR mutation, but targeted therapy was ineffective. The patient underwent another lung biopsy, which confirmed the pathology as small cell lung cancer. She received bronchial arterial infusion chemotherapy combined with molecular targeted therapy (Dacomitinib) and anti-angiogenesis therapy (Anlotinib), achieving partial response (PR) with a progression-free survival (PFS) of 4 months. During the treatment process, timely secondary biopsy indicated pathological transformation, and the combination of arterial infusion chemotherapy and targeted therapy successfully controlled the disease. This case may provide valuable insights for the treatment of transformed small cell lung cancer.

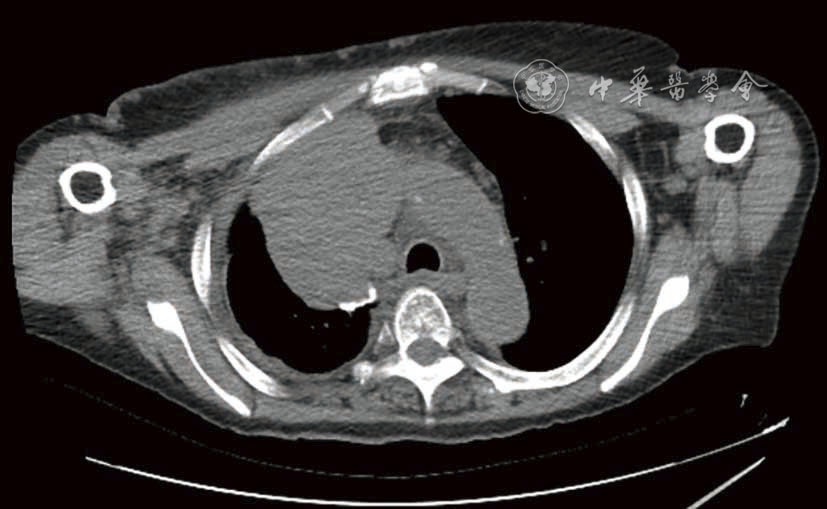
图1 治疗前CT影像 2023年6月29日,入院时胸部CT:右肺门旁可见不规则肿物影,最大横截面积约为8.5 cm×7.1 cm,其内可见类圆形低密度影及不规则致密影。
图2 介入术中DSA影像 2A:右侧支气管动脉及肋间动脉(黑色箭头),右侧支气管动脉及肿瘤血管染色(红色箭头);2B:微导管超选择右侧支气管动脉(黑色箭头)
图3 治疗后CT影像 3A:2023年8月14日,治疗后胸部CT:右肺上叶肿物较前(2023-06-29)缩小,最大横截面积约为5.6 cm×2.7 cm;3B:2023年9月25日,继续治疗后胸部CT:右肺上叶肿物较前(2023-08-14)缩小,最大横截面积约为3.0 cm×1.8 cm;3C:2023年11月8日,口服靶向治疗后胸部CT:右肺上叶肿物伴右肺阻塞性肺不张,较前(2023-9-25)增大;3D:2023年12月25日,重启介入治疗后胸部CT:右肺上叶不规则软组织密度影,伴右肺上叶阻塞性不张;纵隔、右肺门、双侧锁骨上窝、右侧心膈角及膈肌脚多发淋巴结转移;3E:2024年1月11日,免疫治疗后胸部CT:右肺上叶不规则软组织密度影,伴阻塞性肺不张,较前(2023-12-25)无著变;纵隔、右肺门、双侧锁骨上窝、右侧心膈角及膈肌脚多发淋巴结转移,累及邻近上腔静脉及左头臂静脉,较前增大。
[1]
Pignataro D, Bertaglia V, Bironzo P, et al. Oligoprogressive Disease With SCLC Transformation in EGFR-Mutated NSCLC: How Biology Knowledge Can Change the Game Rules[J]. J Thorac Oncol, 2020, 15(10): e170-e172.
[2]
Cheng Y, He Y, Li W, et al. Osimertinib Versus Comparator EGFR TKI as First-Line Treatment for EGFR-Mutated Advanced NSCLC: FLAURA China, A Randomized Study[J]. Target Oncol, 2021, 16(2): 165-176.
[3]
Westover D, Zugazagoitia J, Cho B C, et al. Mechanisms of acquired resistance to first-and second-generation EGFR tyrosine kinase inhibitors[J]. Ann Oncol, 2018, 29(suppl_1): i10-i9.
[4]
Yu H A, Arcila M E, Rekhtman N, et al. Analysis of tumor specimens at the time of acquired resistance to EGFR-TKI therapy in 155 patients with EGFR-mutant lung cancers[J]. Clin Cancer Res, 2013, 19(8): 2240-2247.
[5]
Oser M G, Niederst M J, Sequist L V, et al. Transformation from non-small-cell lung cancer to small-cell lung cancer: molecular drivers and cells of origin[J]. Lancet Oncol, 2015, 16(4): e165-172.
[6]
Sequist L V, Waltman B A, Dias-Santagata D, et al. Genotypic and histological evolution of lung cancers acquiring resistance to EGFR inhibitors[J]. Sci. Transl. Med, 2011, 3(75): 75ra26.
[7]
Roca E, Gurizzan C, Amoroso V, et al. Outcome of patients with lung adenocarcinoma with transformation to small-cell lung cancer following tyrosine kinase inhibitors treatment: A systematic review and pooled analysis[J]. Cancer Treat Rev, 2017, 59: 117-122.
[8]
Lee P H, Huang Y H, Lin H, et al. Histological Transformation after Acquired Resistance to the Third-Generation EGFR-TKI in Patients with Advanced EGFR-Mutant Lung Adenocarcinoma[J]. Medicina, 2022, 58(7): 908.
[9]
Yin X, Li Y, Wang H, et al. Small cell lung cancer transformation: From pathogenesis to treatment[J]. Semin. Cancer Biol, 2022, 86(Pt 2): 595-606.
[10]
Gardner E E, Earlie E M, Li K, et al. Lineage-specific intolerance to oncogenic drivers restricts histological transformation[J]. Science, 2024, 383(6683): eadj1415.
[11]
Lee J K, Lee J, Kim S, et al. Clonal History and Genetic Predictors of Transformation Into Small-Cell Carcinomas From Lung Adenocarcinomas[J]. J Clin Oncol, 2017, 35(26): 3065-3074.
[12]
Marcoux N, Gettinger S N, O'kane G, et al. EGFR-Mutant Adenocarcinomas That Transform to Small-Cell Lung Cancer and Other Neuroendocrine Carcinomas: Clinical Outcomes[J]. J Clin Oncol, 2019, 37(4): 278-285.
[13]
Zeng J, Ding X, Ding J, et al. Histological transformation into SCLC: An important resistance mechanism of NSCLC upon immunotherapy[J]. Front Immunol, 2023, 14: 1275957.
[14]
郑华, 赵丹, 顾勐, et al. EGFR突变非小细胞肺癌治疗后发生小细胞肺癌转化的临床特征及预后分析[J]. National Medical Journal of China, 2024, 104(40): 3751-3756.
[15]
Wang W, Xu C, Chen H, et al. Genomic alterations and clinical outcomes in patients with lung adenocarcinoma with transformation to small cell lung cancer after treatment with EGFR tyrosine kinase inhibitors: A multicenter retrospective study[J]. Lung Cancer, 2021, 155: 20-27.
[16]
Lai L, Meng W, Wei J, et al. Transformation of NSCLC to SCLC after 1st-and 3rd-generation EGFR-TKI resistance and response to EP regimen and erlotinib: 2 CARE-compliant case reports[J]. Medicine (Baltimore), 2021, 100(10): e25046.
[17]
Ye X D, Yuan Z, Ye J D, et al. Assessment of the feeding arteries by three-dimensional computed tomography angiography prior to multi-arterial infusion chemotherapy for lung cancer[J]. Oncol Lett, 2013, 5(1): 363-367.
[18]
Hori S, Nakamura T, Kennoki N, et al. Transarterial management of advance lung cancer[J]. Jpn J Clin Oncol, 2021, 51(6): 851-856.
[19]
Zhang C Y, Sun H, Su J W, et al. A potential treatment option for transformed small-cell lung cancer on PD-L1 inhibitor-based combination therapy improved survival[J]. Lung Cancer, 2023, 175: 68-78.
[1] 李婷婷, 李宏羽, 吴孟航. 肝动脉灌注化疗在不可切除肝细胞癌中的应用进展[J/OL]. 中华普外科手术学杂志(电子版), 2025, 19(06): 705-708.
[2] 张蔚, 李运涛, 尚培中, 贾志芳, 张伟, 郭伟林. 腹腔镜根治术治疗转移性胆囊癌一例报道[J/OL]. 中华普外科手术学杂志(电子版), 2025, 19(05): 589-590.
[3] 郑文涛, 肖静, 欧阳兵, 吴毅, 廖开友, 李春林. 载药微球CalliSpheres经支气管动脉化疗栓塞术治疗Ⅲ~Ⅳ期非小细胞肺癌疗效分析[J/OL]. 中华肺部疾病杂志(电子版), 2025, 18(05): 691-696.
[4] 李朝辉, 柴广金, 刘理礼, 王贇. 热休克蛋白90α、肿瘤相关肽和白细胞介素-6对非小细胞肺癌恶性胸腔积液诊断及预后分析[J/OL]. 中华肺部疾病杂志(电子版), 2025, 18(05): 697-701.
[5] 刘小丽, 罗倩, 种玉婷, 向贇, 马群宝, 莫亚斯尔·热合木拉, 黄玉蓉. 抗血管生成药物联合PD-1单抗治疗NSCLC的疗效及对T淋巴细胞亚群的影响[J/OL]. 中华肺部疾病杂志(电子版), 2025, 18(04): 510-515.
[6] 蒋延龄, 任瑾卓, 陈俊杰, 田秀丽, 莘翼翔, 张华. 血浆细胞因子谱预测非小细胞肺癌患者临床获益和免疫相关不良事件的意义[J/OL]. 中华肺部疾病杂志(电子版), 2025, 18(04): 558-563.
[7] 刘学飞, 赵东, 李婷婷, 李佳浓, 葛亚楠, 李博. RB1基因状态对非小细胞肺癌免疫检查点抑制剂联合化疗反应的意义[J/OL]. 中华肺部疾病杂志(电子版), 2025, 18(04): 580-585.
[8] 朱恒美, 董志涛, 房树恒, 贺丹丹, 张晓丽, 周静, 翟健, 耿利, 杨甲梅. 肝癌肝动脉持续灌注化疗患者卧床时限改变的前瞻性研究[J/OL]. 中华肝脏外科手术学电子杂志, 2025, 14(06): 925-930.
[9] 张宇涵, 吴添庆, 高汶卿, 郑梽楷, 贺珉睿, 周仲国. 不可切除性肝内胆管癌不同治疗方式疗效和安全性的Meta分析[J/OL]. 中华肝脏外科手术学电子杂志, 2025, 14(06): 939-947.
[10] 匡嘉文, 陈铁军, 龚远锋, 唐辉, 唐云强. TACE-HAIC联合仑伐替尼和PD-1抑制剂四联治疗Ⅲa期肝癌的疗效[J/OL]. 中华肝脏外科手术学电子杂志, 2025, 14(04): 554-560.
[11] 吴添庆, 郑梽楷, 贺珉睿, 潘扬勋, 王骏成, 陈锦滨, 周仲国. 华蟾素治疗肝癌肝动脉灌注化疗术后疼痛的疗效和安全性[J/OL]. 中华肝脏外科手术学电子杂志, 2025, 14(04): 569-575.
[12] 王淼, 贺佳佳, 潘颖威, 王小兰, 姚袆, 刘明宝, 陆兮, 苏丽洁. 远端胆管癌术后生存预后及其影响因素分析[J/OL]. 中华肝脏外科手术学电子杂志, 2025, 14(04): 582-588.
[13] 何承志, 张小燕, 郜恒骏. 幽门螺杆菌对六种抗生素的耐药基因测序结果分析[J/OL]. 中华消化病与影像杂志(电子版), 2025, 15(06): 604-609.
[14] 于少华, 苏飞, 芦永斌, 袁芳芸, 阚晓燕, 张涛, 侯小明. 基于血清电解质水平构建列线图模型对广泛期小细胞肺癌患者的预测价值[J/OL]. 中华临床医师杂志(电子版), 2025, 19(08): 574-581.
[15] 王春茂, 韩鸣, 王子彤. 局限期小细胞肺癌新辅助治疗后完全病理学缓解五例[J/OL]. 中华临床医师杂志(电子版), 2025, 19(07): 550-554.
阅读次数
全文


摘要


AI


AI小编
你好!我是《中华医学电子期刊资源库》AI小编,有什么可以帮您的吗?